Atemgeräusch in Belastung bei einem Vollbluthengst
Bei einem dreijährigen Vollbluthengst war seit längerem im Training ein auffälliges Atemgeräusch bemerkbar gewesen und eine nicht ganz zufriedenstellende Leistung.
Atypische Weidemyopathie
Unser Alltag bietet jede Menge interessante Fälle, hier einer verfasst zum Thema Atypische Weidemyopathie.
„80% Riss“ der oberflächlichen Beugesehne
Eine Verletzung der oberflächlichen Beugesehne beim Pferd kann je nach Schweregrad eine sehr undankbare, orthopädische Erkrankung sein, da immer ein erhöhtes Rezidivrisiko (Rückfall) besteht.
Charming Rosalie
Diese Geschichte ist wirklich etwas ganz besonderes. Die kleine Charming Rosalie hat im Sturm die Herzen unserer Mannschaft erobert.
Der übersehene Befund in der Kieferhöhle
Dieses Pferd hatte über mehrere Wochen immer wieder einseitigen eitrigen Nasenausfluss. Trotz der Gabe von Antibiotika und Schleimlöser hat sich der Zustand immer nur zeitweise verbessert.
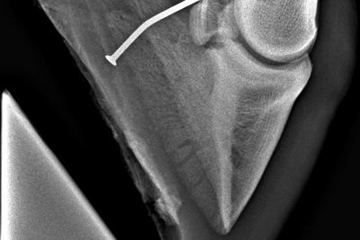
Der Nageltritt des Jahres
Auch wenn es erst Februar war, wird dieser „Nagel“ (hoffentlich) im Jahr 2016 nicht mehr getoppt werden.
Die bessere Beurteilung einer Krongelenks-Schale
Dieser Patient leidet schon länger an einer sich entwickelnden Schale im Bereich des Krongelenkes. Obwohl die klassischen Röntgenbilder noch einen stabilen Eindruck im Krongelenk hinterließen, wurde der Zustand des Pferdes schneller schlechter als erwartet.
Die operative Versorgung einer Fesselbein-Fraktur
Bei den Knochenbrüchen des Fesselbeins werden einfache und komplizierte Bruchverläufe unterschieden. Dabei bedeutet kompliziert, dass es häufig mehr als zwei Knochenteile gibt und dass der Bruchverlauf eher spiralig als gerade ist.
Die Strahlbeinfraktur
Ein Bruch des Strahlbeins oder sogenannten Hufrollenknochens am Hinterbein ist grundsätzlich sehr selten. In diesem Fall lag seit längerem eine deutliche Lahmheit am Hinterbein vor.
Die Zyste im Hufbein
Dieses Pferd zeigte seit längerem eine wiederkehrende Lahmheit am rechten Vorderbein. Mit Hilfe diagnostischer Anästhesien konnte die Ursache im Bereich des rechten Hufes lokalisiert werden. Die ersten im Stall gemachten Röntgenbilder zeigten keine klaren Befunde bis auf einen unklaren Verdacht im Bereich des Hufgelenkes.
Faecolithen & Tricobezoaren
Als Faecolithen und Tricobezoaren bezeichnet man eine Masse von Haaren, Sand und Kot meist im Endstück des Dickdarms, die ursächlich für eine Kolik sein kann. In manchen Fällen kann es dort sowohl zu Verdrehungen des Darmes wie auch zu Verstopfungen kommen.
Fallbericht Lahmheit
Seit Herbst 2017 zeigte die Stute eine milde Lahmheit am rechten Hinterbein. Zunächst wollte sie sich ungern bewegen, der Zustand verschlechterte sich jedoch in wenigen Tagen so sehr, dass Estefania im November 2017 bereits im Schritt stark lahmte.
Hufkrebs
Hufkrebs ist eine Erkrankung des Hufhorns, die vermehrt bei Kaltblutrassen vorkommt (u.a. Tinker, Friesen). Bei betroffenen Pferden sind häufiger die Hintergliedmaßen und oft auch mehrere Hufe gleichzeitig beteiligt.
Kissing Spines Operation
Nicht immer bedeuten eng stehende oder sich berührende Dornfortsätze im Röntgenbild schlechte Nachrichten.
Kolik durch Tumor am Darm
Die Kaltblutstute wurde aufgrund akuter Koliksymptomatik in die Klinik gebracht. Zunächst beruhigte sie sich, und alle Untersuchungen konnten Sie keine klare Kolikursache liefern.
Maddox, ein ganz spezieller Kolikpatient
Maddox war kein Unbekannter, denn er war ein chronischer Kolikpatient. Magengeschwüre schienen bei ihm seit Anfang des Jahres mehrfach der Grund für Koliken gewesen zu sein.
Ovartumor auf den zweiten Blick
Die Stute war schon seit längerer Zeit „zickig“ und zeigte auch Rittigkeitsprobleme.
Rippenfraktur
Als die Besitzerin in den Offenstall zu Ihrem Pferd kam, war sofort klar, dass etwas nicht stimmte. Der Wallach wurde am ganzen Körper zitternd vorgefunden und wollte sich keinen Schritt bewegen.
Sandkolik
Das 16 jährige Shetlandpony Lilly kam im März 2024 als Kolikpatient zu uns in die Klinik. Da die Besitzerin bei der Anamnese schilderte, dass Lilly auf einem Paddock mit Sandboden lebt, wurde ein Röntgenbild des Abdomens angefertigt.
Schwere Melanomatose („ Schimmelkrebs “)
„Primedancer“ ist ein mittlerweile 28-jähriger Schimmelwallach, der aufgrund von Fieber, Inappetenz und Kolik bei uns an der Klinik wiederholt in Behandlung war. Bei der Erstvorstellung war der allgemeine Ernährungszustand des Wallachs mäßig. Zudem hatte er unzählige Melanome über den ganzen Körper verteilt.
Shetlandpony Max
Vor etwa einem Jahr wurde uns das Shetlandpony „Max“ vorgestellt, weil er unter wiederkehrendem Husten mit zum Teil schweren Hustenanfällen litt, sowie oft mit einer pumpenden Atmung auffiel. Er war in der Vergangenheit schon einige Male behandelt worden, jedoch war nach kurzzeitiger Besserung das Problem immer wieder aufgetreten
Shetty mit Speiseröhren-Verengung
Ein 3 Monates altes Mini-Shetland Pony hat seit einigen Wochen regelmäßig husten und aus der Nase kommt Gras. Zusätzlich lag eine Schwellung auch an der linken Halsseite vor. In der Klinik wurde mittels der Kontrastradiographie eine angeborene Speiseröhren-Verengung diagnostiziert, welche während des Wachstums klinische Symptome verursachte.
Statt Hufgeschwür ein Bänderriss
Eigentlich kam der 20 jährige Haflingerwallach mit der Hoffnung, dass die starke Lahmheit am Vorderbein durch eine Hufgeschwür oder vielleicht einem Reheanfall bedingt war.
Wiederkehrende Kolik
Ein 11-jähriger Islandwallach wurde bei uns wegen Kolik vorgestellt. Weil er immer wieder Koliken zeigte, war er schon auf Magengeschwüre behandelt worden, aber ohne anhaltenden Erfolg.




